“Today I Learned”: 50 Curious Things About The World People Didn’t Learn At School (New Posts)
With over 28.6 million members, this Reddit community is not your regular subreddit. Rather, it’s the internet’s beloved powerhouse that celebrates knowledge, curiosity, and intelligence.
By sharing something new to learn every single day, if not hour, Today I Learned has gained a following that keeps Reddit alive and gives our daily browsing the added value we crave.
So this time, we wrapped up a new batch of intriguing tidbits, surprising facts, and little-known bits of history to pour some brain stimuli into our feeds. Pull your seats closer, get your notebooks ready, and enjoy the TIL world right below!
Psst! More of TIL goodness awaits in our previous posts here, here, and here.
To find out more about the benefits of learning new things every day and ways to nurture our curiosity through life, Bored Panda reached out to Dr. Gleb Tsipursky, the CEO of Disaster Avoidance Experts and best-selling author of seven books, including a global bestseller Never Go With Your Gut: How Pioneering Leaders Make the Best Decisions and Avoid Business Disasters. Scroll down to find out what he said!
This post may include affiliate links.
TIL Rip was a stray dog adopted by an Air Raid Patrol in WW2. Although not trained for rescue work, he sniffed out over 100 victims trapped beneath buildings. He was awarded the Dickin medal for his work, which has been held partially responsible for prompting the training of search and rescue dogs.
TIL Ireland limits taxation on writers, artist, composers, painters, etc. for their contribution to culture
TIL that scientists trying to study birds in Australia fitted them with tracking harnesses, and the birds helped each other take the harnesses off.
Dr. Tsipursky explained that one of the most important ways that people's personalities differ from each other is a category called "openness to experience." According to him, it describes people who are more open to learning and trying out new things in life.
“Openness to experience is one of the ‘big five’ personality traits that research shows fundamentally differentiate people from each other,” Dr. Tsipursky said. “The five personality traits are: openness to experience (inventive/curious vs. consistent/cautious); conscientiousness (efficient/organized vs. extravagant/careless); extraversion (outgoing/energetic vs. solitary/reserved); agreeableness (friendly/compassionate vs. critical/rational); neuroticism (sensitive/nervous vs. resilient/confident).”
TIL during a preview of the Sistine Chapel paintings, one of the Pope's men criticized all the "disgraceful" nudity. So Michaelangelo painted the critic's likeness into the Last Judgement, wearing nothing but a snake that's biting his d**k.
TIL Queen guitarist Brian May uses banjo strings on his electric guitars. Banjo strings are much lighter (thinner) and can bend much easier, making that signature Queen sound.
TIL that in Laguna, Brazil, bottlenose dolphins actively herd fish towards local fishermen and then signal with tail slaps for the fishermen to throw their nets. This collaboration has been occurring since at least 1847.
Something similar happened in the old whaling town of Eden, South Coast NSW, Australia. Between 1840 and 1930, Orcas (Killer Whales) helped herd the much larger Baleen Whales into the bay where the humans would finish them off. The humans would then share some of the catch with the Orcas (lips and tongue)
The book author claims that openness to experience, just like the other big five personality traits, is a range, not a binary. “Some people are highly curious, some people are moderately curious, some people are not at all curious. You can see this in toddlers - some like to run around and explore their environment, and others sit in the corner and play with blocks.”
TIL that 65% of cancer survivors surveyed by 'war on cancer' said that they had been ghosted by friends or family after their diagnosis.
TIL that in 2013 a climber found a box full of rubies, sapphires, and emeralds on a remote glacier on Mont Blanc. Authorities determined they were likely from an Indian plane that crashed there in 1966 and gave the climber half the gems (worth $169,000) to reward his honesty in turning them in.
The story of the crash (or rather, crashes) is interesting too. The 'Malabar Princess' was an Indian chartered plane that went down on Mont Blanc in 1950. Due to bad weather and the inaccessible location, it was impossible to recover most of the wreckage, which was simply lost into the glacier. Now the spooky part: 16 years later, another Indian plane goes down in almost the exact same spot. Again, the wreckage is largely lost. Casualties of the second crash included a high-level scientist in the Indian nuclear program, spawning a number of conspiracy theories alleging CIA or Pakistani involvement in the crash.
TIL the New Zealand army helped in making the LOTR films by filling as Soldiers and Orcs
When asked how we stay curious throughout life and what are the benefits of it, Dr. Tsipursky said that probably about half of our tendencies to be open to experience come from our genes, and half comes from our life experience and self-improvement efforts.
“That means we can learn to make better decisions when we shape our own personal openness to experience. In the modern world, it pays to be more open to experience than our intuitions suggest. Our intuitions are wired for the ancient savanna, when it was much more dangerous for our survival to be curious than it is right now,” he explained and added that “we should be more curious and stay more open to experience than our intuitions suggest.”
TIL: Researchers in Botswana ran an experiment to reduce lion attacks in cows. They painted large eyes on the cow backsides. After several years, they showed fewer (zero) attacks on the eye-butt cows vs unpainted cows (15).
TIL Quaternary Twins are when two babies are both cousins and genetically siblings. This happens when two identical sisters have children with two identical brothers.
TIL that Albert Göring, Hermann Göring's Brother, was opposed to Nazism, and helped Jews and others who were persecuted escape Nazi Germany. He died in 1966 never having received recognition for his actions.
Yesterday, I learned that Hitler's half brother owned and operated a tea shop.
Many people feel a loss of motivation to explore new things as they age. “Research shows that teenagers are most comfortable with uncertainty, and become less comfortable as they become young adults,” Dr. Tsipursky said.
He continued: “And we become less and less comfortable with uncertainty as we age. We are evolved to be more exploration-oriented when young and when we are finding our place in the world, but our hormones change to cause us to be more oriented toward settling down and seeking comfort and certainty once we are older and find our place in life.”
TIL the 1993 Chinese film, "An Old Man and his Dog" was banned in its native country for decades due to the discovery that the dog trainer and body double to the lead actor was a serial killer who fed his victims to dogs, including the ones onscreen.
TIL that urine comes from your blood, not directly from your digestive system.
TIL: Steve Jobs offered Linus Torvalds, the creator of Linux a job at Apple under the condition he stopped developing for Linux. He declined the job offer.
My husband has been crazy about the Linux OS since the early 1990s. The three historical figures he respects most are Nikola Tesla, Alan Turing, and Linus Torvalds. (What can I say? I like nerds.)
TIL Patricia Stallings was wrongfully convicted for the murder of her infant son under suspicion of antifreeze poisoning before being released due to a biochemist finding that her son had methylmalonic acidemia after hearing about her case on the television series, Unsolved Mysteries.
TIL that during a battle with American troops led by Gen. Custer, Chief Sitting Bull moved within rifle range, methodically filled his pipe, encouraged others to join him, slowly smoked as bullets flew by, and returned unscathed as a display of contempt and courage.
Today I learned that in Central Europe there are hunger stones (hungerstein), in river beds stones were marked with an inscription, visible only when the flow was low enough to warn of a drought that would cause famine.
TIL of 'Denny', the only known individual whose parents were two different species of human. She lived ninety thousand years ago in central Asia, where a fragment of her bone was found in 2012. Her mother was a Neanderthal and her father was a Denisovan.
But....Neanderthals' and Homosapiens are different "species", and the remains of a child born of their intermingling was found in 2013....but we already knew that it happened since humans alive...right now...continue to carry on neanderthal DNA. Denisovan's, Neanderthals' and Homosapiens are all variants of human....hence why they can breed.
TIL that in New Jersey, it is illegal for criminals to wear a bulletproof vest while committing a crime
TIL that using recycled glass to make new glass requires 40% less energy than making it from all new materials. It saves energy because crushed glass melts at a lower temp than the raw materials. Glass is sometimes recycled into "glassphault" or is used as a landfill covering over waste materials.
Glass and aluminum are the most cost and energy efficient recyclables. Just straight up melt, pour into new product. No modifying necessary.
TIL Ronald Reagan started eating Jelly Belly's to quit smoking and kept it up so much that during his terms as President he would have more than 300 thousand jelly beans shipped to the White House each month
TIL after tigers escaped from a zoo in Georgia and killed a man, advice was issued on what to do if you meet a tiger, including: don’t approach it, don’t run away, and don’t urinate
TIL that Ben Franklin's invention of the lightning rod was blamed by church leaders for the 1755 Cape Ann earthquake off the coast of Colonial Massachusetts — as his "heretical rods" interfered with the "artillery of Heaven" & deprived God of using lightning as "tokens of His displeasure."
TIL Tasmanian Devils bear up to 50 babies, but only have four nipples. The first four babies that successfully make it from the birth canal into the pouch stand a chance of surviving, while the rest die and are eaten by the mother.
TIL a "Chernobyl necklace" is a horizontal scar at the base of the throat from surgery to remove thyroid cancer caused by fallout from a nuclear accident
TIL in 2013 in Florida, a sink hole unexpectedly opened up beneath a sleeping man’s bedroom and swallowed him whole. He is presumed dead.
TIL that maggot therapy is an FDA approved treatment option for ulcers and wounds to promote healing. Live maggots are placed at the site of injury and eat the necrotic tissue, while also secreting anti-microbial chemicals.
TIL that due to ADA standards, elevators going up ding once and elevators going down ding twice to help those with disabilities
TIL actor Matt Doherty, who played Les Averman in the Mighty Ducks films, didn't know how to skate or play hockey at all when he was cast in the first movie. By the time they shot the 3rd movie, he was captain of his high school hockey team and had been offered a scholarship to play in college.
TIL animal “zoomies” have a technical name: Frenetic Random Activity Periods, or “FRAPs”
TIL about the 1936 presidential election in which Roosevelt received 98.49% of the electoral vote total, which remains the highest percentage of the electoral vote won by any candidate since 1820.
He was elected four times, but died in office. He was also paralyzed from the waist down due to polio. He made an effort to hide this from the public, because he was concerned that people wouldn't vote for him if they knew about it.
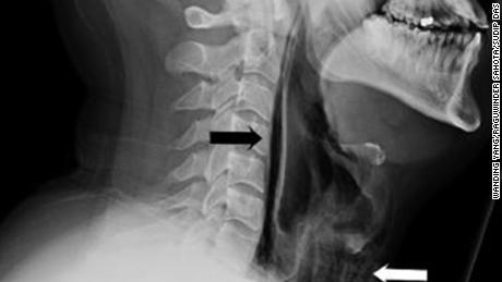
TIL in 2018, a 34-year-old man blew a hole in his throat by holding his nose and closing his mouth while sneezing. The expulsion of air from a sneeze can propel mucous droplets at a rate of 100 mph. He was given antibiotics and put on a feeding tube for 7 days and recovered with no permanent damage.
I'm pretty sure I sat next to this guy on a train five months into the Covid pandemic.
The pandemic started in the middle of 2019 … this happened a year before the pandemic hit 🤦♀️
Load More Replies...Had to look this up. The way it's written is misleading. True story but he only tore the soft tissue inside his throat... After years of holding in sneezes. His neck did not burst open, or anything remotely gruesome. He was put on a feeding tube to avoid infection
My mother once coughed so hard, she separated a layer of the wall in her aorta. Scary.
According to Calvin's dad, if you do that your eyeballs will pop out. Ie; "Calvin and Hobbes".
Doesn't sound right. If you try this you are more likely to blow a hole in the top of your head.
I learned at my last Dr. visit that I blew a hole in my eardrum from 'popping' my ears by blowing my cheeks out and holding my nose.
TIL the first victim of the Chernobyl disaster was Valery Khodemchuk who died as the reactor exploded, his body was never found and is entombed in the wreckage of the Chernobyl power plant
TIL that there's something called the "preparedness paradox." Preparation for a danger (an epidemic, natural disaster, etc.) can keep people from being harmed by that danger. Since people didn't see negative consequences from the danger, they wrongly conclude that the danger wasn't bad to start with
Til wolverine was created because Marvel's then editor in chief Roy Thomas wanted a Canadian hero to boost north-of-the-border sales
TIL wolverine is Canadian. Perhaps I knew and forgot but you never think about where some characters come from sometimes
TIL that the Museum of Icelandic Sorcery & Witchcraft has a replica of Nábrók (or necropants), a pair of pants made from the skin of a dead man or woman, which are believed in Icelandic witchcraft to be capable of producing an endless supply of money.
TIL of the museum infested with the Chilean Recluse spider (Loxosceles laeta), widely considered to be the most venomous of its kind. The museum, Finnish Museum of Natural History, is located in Helsinki & no one is sure how the spider, native to South & Central America, came into the museum.
This sounds like a Scooby-Doo episode where the whole thing could have been a successful real estate scam if it weren't for you meddling kids.
TIL in 1994, the family of 13-year-old Chris Kirkland made a bet that one day their son would play for Team England, with a bookie giving them 100-1 odds. The bet paid off in 2006, when the goalkeeper played for England in a match against Greece, with the family making £10,000
TIL of Puppy Pregnancy Syndrome, a psychosomatic illness found only in parts of India, where individuals who have been bitten by a dog believe that a puppy is conceived in their abdomen. Sufferers often report seeing the puppy in their reflection, or hearing it growl in their belly.
Interesting. It has been proven again and again that society actuqlly influences the symptoms of certain mental illnesses and delusions. Schizophrenic sufferers in the 50s act very differently than schizophrenic sufferers today, and so on. One group is much quieter than the other, amongst other things, I forgot unfortunately but it's very interesting
TIL that during World War One up to 12 million letters a week were delivered to soldiers, many on the front line
TIL before Shazam was an app, it was a telephone service which you could call to identify a song. The caller would then get a text message with the song details.
I just found out Shazam existed and am heading to the app store...my memory for songs gets worse every year.
TIL in 1972, diver Bret Gilliam survived a 325+ ft ascent, with an empty oxygen tank, after trying to save a colleague from attacking sharks.
TIL that the video for Weird Al's "Smells like Nirvana" was shot in the same sound stage as the clip for Smells like teen spirit and also used most of the extras from the original, including the janitor that's featured in various scenes.
Weird Al always tries for authenticity. He used Jeopardy's original host and announcer for "I Lost on Jeopardy". The lead guitar player on his satire of "Money For Nothing" was the lead guitar player on "Money For Nothing".
TIL cheese has morphine-like compound named casomorphin
TIL House Termites did make it over to England, but a 27 year government funded programme eradicated them in 2021.
What a relief. Can’t imagine those beautiful old English houses taken down by termites. Talk about a wise use of money and effort!
TIL that there are only 20 ancient lakes (defined as carrying water for more than a million years) in the world, with only 3 in North America (Tahoe, Tule, Pingualuk). Nearly all are tectonic (i.e. rift zones) in origin, however 2 are from meteorite craters (Pingualuk in Canada, Bosumtwi in Ghana)
TIL It took 20,000 hours of underwater repairs but the United States managed to refloat a majority of the battleships sunk at Pearl Harbor. Recovered ships including the USS West Virginia, USS California, USS Tennessee, USS Maryland, and USS Pennsylvania all fought in the Philippines.
20,000 hours sounds like a bargain compared to the replacement of those ships.
TIL about Project Possible, Nimsdai Purja climbed the 14 mountains that are above 8,000 meters in just Six months.They told Nims his project was simply impossible. So he called it Project Possible. While climbing Kanchenjunga he was partying the night before and was hungover during the climb.
When you know what you're capable of it doesn't matter what anyone else may say.
TIL that in 1933, yo-yos were banned in Syria, because many locals superstitiously blamed the use of them for a severe drought.
TIL the first ally soldier to step onto the beaches of Normandy during the D-Day invasion was Leonard Treherne "Max" Schroeder Jr. He made it out alive and was awarded the Silver Star, Bronze Star, and Purple Heart. He died in 2009 at the age of 90.
TIL that in addition to using the stars, Micronesians navigated the Pacific by recognizing and interpreting different type of ocean swells, even using them to pinpoint the existence of islands hundreds of miles away. Marshallese islanders additionally made stick maps of these ocean swell patterns.
I heard a fun story about this. There was this old Polynesian guy who was like this amazing navigator who could know exactly where he was in the ocean by the subtle movements of the water. When asked how he did it, he explained that he would press his testicles against the bottom of his canoe.
TIL Vertus Hardiman, who at age 5 in 1928 was subject to radiation experiments disguised as a new ringworm treatment. He lived 80 years suffering necrosis of his skull, hidden under hats and wigs.
TIL that there’s a medical procedure called “Fecal Transplant” that literally consists in collecting feces, also called stool or poop, from a healthy donor and introduce them into a patient’s gastrointestinal tract. The procedure can control an infection called Clostridium difficile.
If you only learnt that today, you haven't watched enough House episodes!!
TIL despite being silent about Joseph McCarthy in public, President Dwight D. Eisenhower started a secret campaign that ultimately ended the Senator's career.
Dwight may not have been everyone's cup of tea, but he was a fundamentally decent man.
TIL Before Canada was officially named Canada, other names had been suggested but rejected. Some examples: Albertsland, Borealia, Britannia, Tuponia and others. The current name likely comes from the aboriginal word "Kanata" which means village or settlement.
TIL Matthew McConaughey was first assigned to play Marty Hart in the first season of True Detective. McConaughey asked to switch to Rust Cohle due to the character's obsessive tendencies. McConaughey created a 450-page analysis of Cohle to study the character's evolution in the series.
TIL during the Gulf War, Saddam Hussein built a defensive line filled with trenches and tunnels, hoping to engage the coalition in World War 1-style trench warfare. Instead, the US forces just charged with modified bullzdozers and simply plowed through the Iraqi trenches, burying many alive
How many wars throughout history were lost because the enemy didn't fight on your terms.
TIL That the skeletons in the pool scene in Poltergeist were real human skeletons.
TIL an RHS test building covered in ivy stayed 7.2C cooler then non covered buildings. The leave structure also kept the walls dry, lowering humidity and protecting it from corrosion
TIL while studying flight or fight a biologist grouped guppies in 3 categories "bold" (inspect threat), ordinary (hide), timid (flee). He then put a bass in with the guppies, 40 percent of the timid guppies and 15 percent of the ordinary guppies survived while none of the bold guppies did.
TIL that Major League Baseball pitcher Ed Porray is the only player in league history to not be born in a country. He was born on a fishing boat in the middle of the Atlantic Ocean on December 5th, 1888. His birth certificate lists "At sea, on the Atlantic Ocean" as his birthplace.
TIL since 2004 the residents of La California, a town in Italy, have held farcical ballots for the United States presidential elections. Although votes cast by La California residents do not count, they still send the result of each election to the nearby US consulate in Florence
During the 2022 French elections (and previous ones too) there were few voting centers in Indian territory of Pondicherry(and one in Chennai too).It used to be a French colony and some people still hold French citizenship.
TIL that after constantly eat raw beef over a couple of years, a man in China eventually had a 20 foot long tapeworm living in his small intestine, and it turned out that the tapeworm had been inside his small intestines for at least 2 years.
TIL the SEC pays 10-30% of the fine to whistleblowers whose info leads to over $1m fines
TIL that scenes for Gladiator, Band of Brothers, Children of Men, Thor and Coldplay’s The Scientist were all filmed in the same woodland in Surrey
TIL About 'Project 100,000', a Vietnam era program to recruit 100,000 men a year to fight America's war in southeast Asia. Many of the recruits were illiterate, had IQs of less than 70, or suffered from other mental or physical impairments. Thousands of the recruits died in combat.
Whoever thought this up, whoever implemented it should rot in hell. If this opinion gets me banned, so be it.
TIL that scientists managed to virtually reconstruct the destroyed planetary system of the star WD 1145+017 by analysing the debris field around the star. Giving birth to the field of astronomy dedicated to studying destroyed planets known as Necroplanetology.
See when you give a name like that it just puts in my head the image of zombie planets being raised
TIL that Laos is the most heavily bombed country in history. An average of 55 bombs dropped per minute over 9 years.
Oh yeah. It's because the American airplanes couldn't go back to base without dropping all their bombs so they dropped them over Laos instead. Been there and there are still certain paths you have to follow. And people also use the bomb casings for stuff, like flower pots etc.
TIL your belly button depth isn’t determined by the cut at birth, but just randomly how your stump heals.
TIL about Major Wilbert “Doug” Peterson, who managed to perform the first and only air-to-space kill in history when he shot down a satellite with a F-15A fighter jet on September 13, 1985.
TIL The Salvation Army was originally opposed by and fought with The Skeleton Army which was composed of lower and working class citizens, punks and miscreants who objected to the SA's views on abstinence and temperence.
TIL: Until 2013, foreign chefs in Japan were legally barred from working in restaurants specializing in traditional Japanese food and could only serve foreign cuisine. Japan changed its regulations for foreign chefs after traditional Japanese cuisine won UNESCO designation.
TIL that seaweeds, like kelp, are not plants. They belong in the kingdom Protista. Seaweeds lack the vascular system and roots of a plant; they can absorb the water and nutrients they need directly from the ocean.
And seaweeds and kelp are both responsible for most of the Earth's oxygen, much more so than trees
TIL that there is an island between Spain and France whose administration alternates every 6 months between both nations.
The island is on the Bidassoa river. Louis the 13th met his Spanish bride to be (Ana of Austria) there. His son Louis the 14th met his Spanish bride to be - and cousin - (Maria Teresa of Austria) there too 40 years later.
TIL Socrates wrote nothing. All that is known about him has been inferred from accounts by members of his circle—primarily Plato and Xenophon—as well as by Plato's student Aristotle, who acquired his knowledge of Socrates through his teacher.
TIL the woman who created the green bean casserole is in the Inventor's Hall of Fame
TIL that everyone with a prostate has a structure called Vagina Masculina (aka Prostatic utricle), homologous to the female vagina.
TIL there is an egg-shaped dwarf planet called Haumea in our Solar System - its shape its due to incredibly fast rotation and it even has two moons.
TIL: Spartans magistrates would declare war on their slaves every year so they were free to harm or kill them.
TIL James Salisbury, inventor of the Salisbury steak, was a physician during the American Civil War. He was convinced that vegetables were responsible for heart disease and mental illness, and that Salisbury steak should be eaten three times a day for bodily defense and weight loss.
So he insisted on people using only his product, while criticizing other products? Sounds families.
TIL Armie Hammer's great grandfather Armand Hammer tried to buy Arm & Hammer because was tired of being asked about it
I remember the day in law school wondering just what the makers of Baking Soda did to be so discussed in Torts...
TIL Production on ALF was tense. The set was elevated and full of trap doors constantly being reset. Due to technical issues the 30 minute show took 20 to 25 hours to shoot. One especially stressful day Max Wright attacked ALF and the two had to be separated.
Wait...ALF was a puppet. A human had to be separated from a puppet...that he was attacking?
TIL the "official" death of President Zachary Taylor was an overconsumption of cherries and milk, but the cause of death has been the subject of conspiracy theories.
TIL there were chips made with Olestra that caused many to run to the restroom
I distinctly recall a warning about Olestra that stated "May cause a**l oil leakage".
TIL In 1978, President Carter oversaw the installation of the first computers in the White House: a Hewlett-Packard HP 3000, water-cooled IBM laser printer, and Xerox Alto desktop computer for the Oval Office. Reagan later removed the Xerox Alto in 1981
TIL that Christopher Columbus' smaller two ships were not really named the Niña and the Pinta. The Niña was actually named the Santa Clara, but was nicknamed after its owner, Juan Niño of Moguer. The original name of The Pinta is lost, and is only known by its nickname (the painted one).
TIL about Royce Williams who in 1952 was engaged in a one-man dogfight with seven MiG-15s that lasted 35 minutes.
TIL more countries use the comma separator (17,6) than the point separator (17.6)
Now I'm curious if those countries actually equate to more people, though.
TIL in 1999, Martin Lawrence collapsed from heat exhaustion while jogging in heavy clothing and a plastic suit in preparation for Big Momma’s House. He recovered in the hospital after entering a three-day near fatal coma due to a body temperature of 107 °F, his breathing assisted by a ventilator.
The media tried to portray him as crazy, violent, and suicidal at the time, when all along it was a medical emergency. I guess heat exhaustion and dehydration are only acceptable reasons for skinny white ladies.
TIL Gregor Mendel's research into inheritance was largely ignored or misunderstood until Hugo de Vries and Carl Correns independently duplicated his works in 1900. Mendel's paper on plant hybridization had only been cited 3 times in the previous 35 years.
TIL Canadian country/pop singer Shania Twain is the only female artist in history to have three consecutive albums certified Diamond by the Recording Industry Association of America (RIAA); one of those albums - Come On Over - has been certified Double Diamond.
TIL In 1999 Tiger Woods hit a tee shot that landed behind a boulder. The boulder was ruled a 'loose impedement' which allowed it to be moved. Several of Tiger's gallery and his caddie worked together to move the boulder, allowing Tiger to birdie the hole.
TIL that the popularity of "Doer" names for Boys - like Racer, Trooper, Charger, Wrangler, etc. - rose by 1000% between 1980 and 2000, and has since largely stabilized at around 50,000 "Doer" named Boys per year.
Boys get verb names, girls get noun names. Action versus object. Pick a category, and try to come up with an equal number of names for each sex. It's nearly impossible. Plant names, for instance. There are countless girl names based on vegetation, but very few for boys.
TIL that David Blaine has over the course of a decade been buried alive for 7 days, encased in ice for 64 hrs, stood on 100ft high pillar for 35 hrs, survived only on water for 44 days and spent 7 days submerged underwater water
I'm thinking that this guy should be locked up - but he'd probably enjoy it!
TIL that CarMax was founded by the now-defunct consumer electronics company, Circuit City
TIL Jelly has traditionally been savory. The oldest known meat jelly recipe is from the 10th-century cook book Kitab al-Tabikh and ingredients include boiled fish heads, vinegar, and whole onions. Jelly containing fruits would come later.
TIL about Amobi Okoye, who moved to the US at 12 without any knowledge of American Football before graduating at 16 with All-state honors. He turned down Harvard to play for Louisville and went on to become the youngest NCAA, and eventually youngest NFL player in history.
TIL that the first touch screen in a car was in a 1986 Buick Riviera. The display offered automatic climate control, AM/FM radio with optional graphic equalizer, trip calculations, gauges and even the vehicles diagnostic info. This included status on the powertrain, brake wear and electrical system.
TIL that the visual effects of the film, The Fountain, cost only a total of $140,000 on a budget of $35 million due to macro photographer Peter Parks’ creative solutions and a bare minimum of CGI.
One of the most beautiful movies ever made. A love story through the ages that largely went unnoticed.
TIL A report about American fast food consumption concludes people actually eat more fast food as their income levels go up
TIL of Carrie Nation, a woman who fought against the widespread alcohol consumption in the US before the prohibition by attacking saloons with a hatchet
"Boy, that lady with the hatchet really got me stirred up! I need something to steady my nerves! Pass the whiskey, Joe, be a pal."
TIL that Alarm clocks did exist before the snooze function, so there was already a standard gear setup that innovators had to work with. Getting the gear teeth to line up to allow for exactly ten minutes wasn’t possible, so they chose to set it at nine minutes and a few seconds.
TIL in 2004 Volvo introduced a concept car that was built for women without a hood and dent-resistant bumpers
this style crawled out of. Many people answering this question often say “Well, maybe they’re German.” Because Germans capitalize every noun. No no. These are English speakers. They, for some strange reason, just type in the most asinine way. I have the same issue with those who comment on my artwork. One egregious person particularly. Even after I told him not to. And this person is not German, is not an ESL. They are American. Which means they had an American education, went to an American school, and was taught American English. And in American English, we do not capitalize first letter of every single word. Not even in book titling is every word capitalized. But for some strange reason, these idiots want to go out of their way to capitalize every single word, which makes what they are typing difficult to read. And yes, typing this way is also very difficult as it requires you to hold down the shift key for the first letter of every word. This Is Not How You Type!” And
Load More Replies...this style crawled out of. Many people answering this question often say “Well, maybe they’re German.” Because Germans capitalize every noun. No no. These are English speakers. They, for some strange reason, just type in the most asinine way. I have the same issue with those who comment on my artwork. One egregious person particularly. Even after I told him not to. And this person is not German, is not an ESL. They are American. Which means they had an American education, went to an American school, and was taught American English. And in American English, we do not capitalize first letter of every single word. Not even in book titling is every word capitalized. But for some strange reason, these idiots want to go out of their way to capitalize every single word, which makes what they are typing difficult to read. And yes, typing this way is also very difficult as it requires you to hold down the shift key for the first letter of every word. This Is Not How You Type!” And
Load More Replies...
