The internet is a treasure trove of fascinating stories, and when it comes to the world of medicine, the tales become even more compelling. From incredible recoveries to puzzling diagnoses, medical cases reveal the sheer complexity and resilience of the human body. They offer a glimpse into the challenges and triumphs of healthcare.
One such hub of remarkable medical stories is the subreddit r/medizzy, where people alike share some of the most captivating cases. This community dives into rare conditions that baffle even seasoned experts and highlights the everyday struggles and victories of doctors. Keep reading to explore these extraordinary medical cases that showcase the weird, wonderful, and awe-inspiring side of medicine!
This post may include affiliate links.
Facial Reconstruction During World War I (1916-1917) [colorized]
This Woman Performed A C-Section On Herself After Struggling During Labor And Not Having Access To Immediate Medical Care. Both She And The Baby Lived!
That's both incredibly sad and incredibly badass. And lucky because possible infections and stuff.
Before And After Orthognathic Surgery
my son was born with a similar condition. he was under the care of a team of doctors and specialists for several years prior to the actual surgery. at one point, two of the surgeons had a falling out as one wanted to basically peel his face down, add cheek implants as well as adjusting/correcting the jaw. the other wanted to do a more conservative surgery. the result was i had to decide which one; i chose the latter. several times during his young life he had commented to the doctors that due to the severity of deformity he didn't look like me or his father and it bothered him. the day of the surgery was filled with anxiety as it was a five hour ordeal. when the dr came out the first thing he said was when he had finished the reconstruction and everything was in place he looked just like me and would be just fine. it wasn't what i expected to hear but immediately knew that he would be so happy.
For many of us, health is a top priority, and it’s astonishing to think about how far medicine has come in just the last 20 years.
From groundbreaking treatments to revolutionary technology, the advances have reshaped the way we think about healthcare and improved the quality of life for millions of people. It’s a journey of innovation, persistence, and human ingenuity that continues to wow us.
Perfectly Lined Up Sternotomy Sealing, The Surgeon Is Amazing
When I needed ankle surgery, the surgeons made sure to cut around my tattoo. Very grateful!
A Man From India Has An Ultra-Rare Condition Called Hypertrichosis, Also Known As “Werewolf Syndrome”
This incurable condition is so rare that it is believed that only 50 people have had it since the Middle Ages
Tetanus, Or "Lockjaw," Is Caused By The Bacterium Clostridium Tetani, Which Produces A Toxin Leading To Severe Muscle Spasms. Historically, Due To The Abrupt And Rigid Muscle Contractions, People Believed Tetanus Was A Form Of Demonic Possession
Two decades ago, smartphones were just emerging, and now we have wearable devices like smartwatches that can monitor your heart rate, track your sleep, and even detect irregularities like atrial fibrillation.
These gadgets have made it easier for people to stay on top of their health without even stepping into a clinic. It’s like having a mini-doctor on your wrist—a concept that would have seemed like science fiction in the early 2000s.
A Kidney Stone We Got Sent Today. Omg
Whoever peed that one out deserves every Olympic gold medal.
Gouty Arthritis
Normal Birthmark
Surgical techniques have also seen tremendous progress. Take robotic-assisted surgeries, for example. The Da Vinci Surgical System, which gained popularity in the 2000s, now performs minimally invasive procedures with unparalleled precision.
Compared to traditional methods, it results in smaller scars, faster recovery, and less pain—a game-changer for both doctors and patients.
I Had Brain Surgery In January Of ’23 And One Of The Screws Used Worked Its Way Through My Skin And Eventually Came Out
A Man In Peru Experienced An Unusual Swelling, Resembling A Balloon, Following A Fishing Accident. After A Deep-Sea Diving Expedition For Shellfish, He Had To Quickly Resurface Due To The Propeller Of A Large Commercial Vessel Severing His Compressed Air Supply
Looks like 'the bends' and he's about to go into a hyperbaric chamber to sort it.
13 Vertebral Bodies Taken From An Organ Donor To Be Used For Bone Marrow
Cancer treatments have undergone a revolution as well. Two decades ago, chemotherapy was often the primary option, but today we have targeted therapies and immunotherapies that are far more precise and personalized.
These treatments not only increase survival rates but also come with fewer side effects, offering patients a better quality of life during their recovery journey.
Ever Since I Got Covid Twice Working As A Hcp In 2020, I Now Get Full Body Hives, Apparently A Post-Viral Reaction, A Couple Times A Month, Mostly When I’m Stressed
Oh $&!+ I have been getting hives similar causation and it started a few weeks after recovering from a case of covid that almost took me out. I'm going to bring this up with my doctors.
The Mermaid Syndrome
schastlivaya-zhizn:
The mermaid syndrome, also known as sirenomelia, is a rare, fatal multi-system congenital syndrome. The most common findings are lower limb fusion into a single extremity, deformities of the sacrum and pelvic girdle, absence of external genitalia, absence of anal patency, and lethal renal abnormalities. These infants frequently display Potter's facies and pulmonary hypoplasia as a result of the oligohydramnios that result from renal agenesis.
Patient Got Bit By A Stray Dog, And This Is His Rabies Vaccine And Immune Globulin Set Up
Gene editing, once the stuff of sci-fi movies, is now a reality thanks to CRISPR technology. This revolutionary tool allows scientists to edit DNA with incredible precision, opening the door to potential cures for genetic disorders like cystic fibrosis and sickle cell anemia.
Tight Situation! Boa Constrictor In The Emergency Room
A Severe, Antibiotic Resistant Infection Caused My Eardrum To Rupture. I Bought A Digital Otoscope And Took A Picture Every Other Day As It Healed
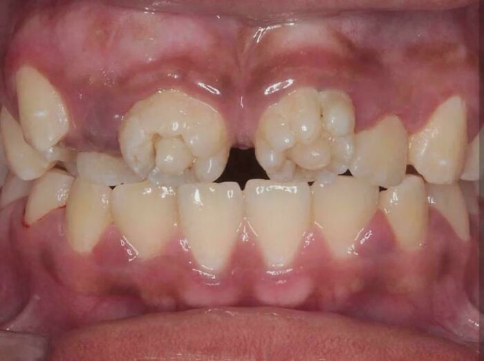
These Are Mulberry Molars, Which Are Associated With Congenital Syphilis
Even everyday healthcare has seen a transformation. Telemedicine has surged in popularity, especially after the pandemic. Now, you can consult a doctor from the comfort of your home with just a few clicks.
Caput Medusae. It Is The Appearance Of Engorged And Severely Distended Epigastric Veins That Usually Radiate From Umbilicus Around The Abdomen. It Is Also Called Palm Tree Sign And Is Cardinal Sign Of Portal Hypertension
chestbursters are making a comeback. That really sucks. That looks like no fun.
This Young Patient Stepped On A Football Table Pole, The Pole Penetrated The Sole Of His Foot Going Through The Shoe And Sock
Extreme Case Of Lymphedema!
HealerMD:
Lymphedema, or lymphatic obstruction, is a long-term condition where excess fluid collects in tissues causing swelling (edema).The lymphatic system is a part of the circulatory system and vital for immune function. Lymphedema is caused by a blockage of this system. Lymphedema commonly affects one of the arms or legs. In some cases, both arms or both legs may be affected...
Vaccines have also made remarkable strides. The speed at which COVID-19 vaccines were developed was a testament to how far medical research has come.
A Rare Glimpse At Something That’s Called Fascia, It’s The White Covering That Is On Top Of Muscle And Under The Skin!
Neurosurgeon Removes Live 8cm Long Worm From Woman's Brain
My Baby Implanted Next To My Copper Iud Last Year. My Obgyn Office Is Still Talking About How Rare This Was. She’s 7 1/2 Weeks Old Now
Digital health records have replaced the old system of paper files, making healthcare more efficient and less prone to errors. Doctors can now access your medical history in seconds, enabling better coordination and care. It’s a small but crucial improvement that has made a world of difference.
The rise of personalized medicine is another leap forward. By analyzing a person’s genetic makeup, doctors can now tailor treatments specifically to their needs.
Frozen Red Cells From A Prenatal Patient Who Is U Negative And Has Anti-U. Approximately 99.9% Of The Population Is U Positive. The Red Cells Will Be Used To Identify Antibodies On Future Patients
Baby Born With Mother's Iud Device In His Head
Had Vitrectomy Surgery 3 Years Ago, And One Pupil Is Always Bigger Than The Other Now
Medicine has always been about saving lives, but today it’s also about enhancing them. These posts highlight just how far medicine has come. From life-saving treatments to mind-boggling innovations, they remind us of the power of science and human ingenuity. Which one of these posts surprised or inspired you the most? Do you have a favorite medical breakthrough or story?
Brother Had Surgery On His Eye For Melanoma
Shot That Demonstrates How Small A Developing Pair Of Fetal Lungs Can Be!
Extremely Pruned Fingers After Picking Mangos Without Gloves
Heavy Calculus Removal
My Nails Are Wrinkly And Quite Brittle
Nails Coming Off After HFMD
Came down with a severe case of hand, foot and mouth disease about a month and a half ago. Now my nails are coming off and yesterday my whole toe nail popped off!
It's because people change diapers or use the bathroom themselves and don't wash their hands. WASH YOUR HANDS PEOPLE and it won't spread.
Osteosarcoma
Osteosarcoma is a malignant tumors which begins in the bone forming cells.It typically occurs in young patients with 75% taking place before the age of 20 as the growth centers of the bone are more active during puberty.
PE Removal With New Procedure. Here’s What They Sucked Out Of My Lungs Via My Groin Last Week
My Dad’s Hand After A Bee Sting
My Husbands Blood Pressure. Doctor Was Surprised He Was Alert And Holding Conversation.
A Man In His 50’s, While Under The Influence, Fell Onto The Pedal Of His Bicycle
Blood From 5 Y/O With Nephrotic Syndrome
Wikipedia: Nephrotic syndrome is a collection of symptoms due to kidney damage. This includes protein in the urine, low blood albumin levels, high blood lipids, and significant swelling. Other symptoms may include weight gain, feeling tired, and foamy urine. Complications may include blood clots, infections, and high blood pressure.
This Man Named Tim Had A Cancerous Tumor That Had Grown To The Size Of A Melon And Had It Rebuilt By A Pioneering Surgeon
According to what I've read on him, he initially sought out non-surgical treatments after learning how invasive the procedure would be to have it removed. McGrath’s chosen naturopathic treatments included a strict diet, supplement protocol, energy and psychological work, among other things. But the tumor continued to grow over the next 18 months, and in mid-May 2015, McGrath was forced to get a feeding tube and tracheotomy.
Load More Replies...No, he tried "natural" treatments that I guarantee never work.
Load More Replies...In nursing school I had a patient that looked like picture #2. Did not have surgical intervention because of religious beliefs. The cancer just destroyed tissue and bone.
Maybe insurance? I worked with a guy that had a large cyst on his ear lobe. Insurance refused to pay for removal, calling it cosmetic. He appealed and by the time of the hearing, the cyst was hanging 2" down from his ear. They approved the surgery.
No, aparently he did not want surgery and tried diet and…. Stuff
Load More Replies...I’m just a little confused as to why they let it get to that point in the first place. It must have been growing for years for it to get that big. I can sort of understand wanting to take a natural approach at first, but waiting until it’s consumed half of your entire head?!?! That’s the point when he said, “You know, maybe I should have a real doctor take a look at this…” Just boggles my mind.
People are incredible at pretending something bad isn't happening to them, and adapting to it. Denial and fear can be so, so powerful. You work at a hospital long enough you'll see many things like this, things where if people had dealt with them straight away it wouldn't have been anywhere near as bad. I've seen a woman with an ovarian tumour the size of a child growing out of her side who'd just refused to go to the doctor for 8 years. It's wild. These facial tumours actually grow very fast, it only took 18 months for him to go from "I'll use natural methods" to "cut the bïtch out".
Load More Replies...Spontaneous Hyphema
Debridement Collection Of Calcifications Resulting From Synovial Chondromatosis In My Right Shoulder
Messed Up My Ankle Real Bad, Was Told To Post Here. Feel Free To Study This Or Whatever
I had something very similar after slipping on a wet bathroom floor: completely severed food from leg, ligaments and all.
Best Friend’s Dad’s Arm After Boxing Injury
Bilateral Keratoconus
Keratoconus is a condition in which the cornea of the eye is unable to hold its round shape and it bulges outward, like a cone. It is usually bilateral and present normally at puberty. It is considered rare in children.
What you see here is an “oil-droplet” reflex (Charleux sign), a dark reflex in the area of the cone on observation of the cornea by distant direct ophthalmoscopy, which is highly evocative of keratoconus.
A Year Ago I Had…something
It was extremely itchy, was only on my arms and legs. Went to two doctors about it, one said looks fungal, the other said looks bacterial. Neither diagnosed me.
An Open Globe Injury Is Characterized By A Complete Penetration Of The Eyeball's Outer Layer, Resulting From Either A Laceration Or A Concealed Rupture
Suddenly the fleck of metal they had to scrape off my eyeball as a kid doesn't seem like such a terrible experience. I can't even imagine how terrifying this would be!
Sunken Nose
Toxoplasma Gondii Abscess In The Brain
If anyone is concerned about this, wear a mask and gloves while cleaning your cat's litterbox, and wash your hands and forearms afterwards. If you are pregnant or immunocompromised, see if you can have someone else scoop for you.
An MRI View You Won’t See Everyday
Vomited Too Violently And Ended Up With Petechiae On My Eyelids And Neck
Hydrocephalus Ex Vacuo With Some Extensive White Matter Atrophy
Seraphim9120:
Hydrocephalus ex vacuo. Hydrocephalus by definition means that the amount of liquor (brain fluid) is higher than normal. Ex vavuo means that this increased amount is there because there is more space available for it. For example because the white matter has atrophied (disappeares) for some reason. That might be because of a degenerative pathophysiological reason or due to atrophy caused by age.
The causality of "higher pressure by fluid" the other commenter lays out may exist, but is not the primary reason for hydrocephalus ex vacuo.
Now you understand why people with varying forms of Dementia act differently, and lose the memory. What makes you you literally dissolves.
I (35f) Had Semi-Permanent Tubes Put In My Ears Last Summer. This Is My 4th Time Having Tubes, But My Third Set Was At 13. I Could Tell My Right Ear Was Getting Clogged, So I've Been Using Medicated Drops For A Few Days. Today, This Fell Out Of My Ear. It's In The Perfect Shape Of My Tube
Came Down With A Dry Cough And Night Sweats About A Week Ago And Coughed This Up Rather Worrying Hopefully Doctors Can Help Tomorrow
Docs Couldn’t Find A Single Vein In My Arms For IvV So They Struck My Jugular
A Weird Vein Posted In Another Sub
It’s def a burst vein I did this in HS playing volleyball and everybody thought my parents were abusing me and called CPS took months to heal fyi
Part Of My Boy’s Soles Turned A Deep Purple
Looks like he stepped on an ink pad, but the color doesn’t come off even a little, with soap or alcohol. Pressing the purple skin turns it pale a little, and releasing pressure turns it purple again. Boy (13) claims it wasn’t purple this morning, and there was no high impact activity on his feet today. Area doesn’t feel numb, cold, itchy or painful. It’s 10pm over here so we’ll have it looked at tomorrow.
To paraphrase long Reddit update: Onions. Apparently someone was chopping red onions and dropped some on the kitchen mat, where a cat peed on it and caused the pigment to transfer to the mat. Then the kid, who, unbeknownst to the mom, only walks on the balls of his feet, stepped on the cat-pee purple dye and got purple feet.
Large Build Up Under The Gums, Tooth Looked Like It Had Barnacles
Can Anyone Tell Me What Kind Of Affliction This Man Is Suffering From?
I'm not very squeamish and morbidly curious on stuff like this. However, I feel really bad for people with some of the conditions shown here. Especially that really big kidney stone, the gouty arthritis and the lymphedema where the feet were practically unrecognizable.
I came here to say the same. These poor people. I feel very fortunate.
Load More Replies...And now we should all be thankful...and perhaps complain a little less.
This for sure! Even when things aren't the best for you, they can always be worse. And if you don't believe it, tempt fate a little!
Load More Replies...When I worked in a nursing home, there was a resident who had a Triple A (abdominal aortic aneurysm). The main artery in her abdomen had a huge swelling at a weak spot. It actually looked like there was a baseball protruding under her skin. The resident was 90-some years old and in poor health. So she was not a candidate for surgery. We knew that someday the aneurysm would burst. One night she called me to her room and asked for a cup of tea. I came back with it about three minutes later and she was dead.
Mom has a growth on her sternum. Doctors won't operate because they believe she would not survive the operation due to her being 89. So, she will eventually die of a heart attack. We all hope it's in her sleep.
Load More Replies...BP, you could've asked for payment after the first one and this is the only time I wouldn't have complained about it. Still not going to pay you anything, though.
Is it weird I was able to read that post while eating dinner? It takes a LOT to make me squeamish
Wow, what a fantastic human being you are! Not being squeamish! D**n, someone give you the Nobel Prize already! I hope you're no older than 14, that's the last time in life someone should be proud of something so unimportant.
Load More Replies...I actually learned a few things here. Thanks for an unusually interesting article.
Anyone else get the “continue reading with boredpanda premium” s**t
Continue reading with premium? Gosh this website is getting worse and worse
I am going to need unsee juice. I feel so bad for these people.
The title of this article man. Appreciate? Man I am now scared of how fragile a human is.
The goosebumps that have been goosebumping throughout this whole post (0.0)
I’d recommend not reading medical articles if you need a warning. It’s subjective as to what material needs a warning, so there’s always a chance you’ll see something you don’t want to.
Load More Replies...I'm not very squeamish and morbidly curious on stuff like this. However, I feel really bad for people with some of the conditions shown here. Especially that really big kidney stone, the gouty arthritis and the lymphedema where the feet were practically unrecognizable.
I came here to say the same. These poor people. I feel very fortunate.
Load More Replies...And now we should all be thankful...and perhaps complain a little less.
This for sure! Even when things aren't the best for you, they can always be worse. And if you don't believe it, tempt fate a little!
Load More Replies...When I worked in a nursing home, there was a resident who had a Triple A (abdominal aortic aneurysm). The main artery in her abdomen had a huge swelling at a weak spot. It actually looked like there was a baseball protruding under her skin. The resident was 90-some years old and in poor health. So she was not a candidate for surgery. We knew that someday the aneurysm would burst. One night she called me to her room and asked for a cup of tea. I came back with it about three minutes later and she was dead.
Mom has a growth on her sternum. Doctors won't operate because they believe she would not survive the operation due to her being 89. So, she will eventually die of a heart attack. We all hope it's in her sleep.
Load More Replies...BP, you could've asked for payment after the first one and this is the only time I wouldn't have complained about it. Still not going to pay you anything, though.
Is it weird I was able to read that post while eating dinner? It takes a LOT to make me squeamish
Wow, what a fantastic human being you are! Not being squeamish! D**n, someone give you the Nobel Prize already! I hope you're no older than 14, that's the last time in life someone should be proud of something so unimportant.
Load More Replies...I actually learned a few things here. Thanks for an unusually interesting article.
Anyone else get the “continue reading with boredpanda premium” s**t
Continue reading with premium? Gosh this website is getting worse and worse
I am going to need unsee juice. I feel so bad for these people.
The title of this article man. Appreciate? Man I am now scared of how fragile a human is.
The goosebumps that have been goosebumping throughout this whole post (0.0)
I’d recommend not reading medical articles if you need a warning. It’s subjective as to what material needs a warning, so there’s always a chance you’ll see something you don’t want to.
Load More Replies...
