21 Bizarre Medical Practices Used In The Past That Will Make You Appreciate Modern Medicine
The Hippocratic Oath taken by physicians requires them to "do no harm." Nonetheless, as we can see from the rich history of medicine, this rule hasn't always been followed. Since the earliest days of medicine, curious people have tried numerous ways to ease each other's pain and various ailments. Sadly, over the course of time, plenty of mistakes, ignorant decisions, and brutal choices were made, which, on occasion, caused more harm than good. Yet even the cruelest events in medicine became a lesson to be learned and paved the way to the modern medicine we have today.
We here at Bored Panda gathered a list of some of the strangest and weirdest medical treatments that make us appreciate all the advancements medical science has gone through. From barbaric procedures such as lobotomy to eerie potions containing arsenic and heroin, we're relieved knowing that these things are not prescribed as valid treatments anymore. Scroll down for the list!
This post may include affiliate links.
Smoking
Back in the late 19th and early 20th century, when the damaging effects of nicotine weren't yet discovered or widely accepted, smoking was used not only for recreational purposes, but also as a medical treatment. It was used for various ailments—including one of the most ridiculous—asthma.
Heroin
Initially, heroin was invented during an attempt to produce a drug similar to morphine but less potent and less addictive. However, quite the opposite happened. Heroin turned out to be around two times more potent than morphine itself. It was then prescribed to treat coughs and other ailments, such as back pain and insomnia. From 1898 through 1910, these cough syrups were marketed as a non-addictive morphine substitute and quickly became the cause of one of the highest addiction rates among its users.
This has a very striking parallel with the opiate painkillers used today and they addictions they cause now.
Methamphetamine
Methamphetamine was first synthesized by a Japanese chemist in 1893. Early on, before the adverse effects of the drug were taken into consideration, meth was used to treat a variety of ailments, such as narcolepsy and asthma, and was also used as a weight-loss drug.
Meth is a fantastic weight loss drug. The side effects aren't great, but still.
Kellogg’s Corn Flakes
J.H. Kellogg, the man behind the beloved Kellogg’s cereal brand, was a full-fledged medical doctor & health activist. Another little-known fact—Dr. Kellogg’s famous corn flakes were also originally created to prevent sexual urges, or more specifically, to inhibit the urge to masturbate. Masturbation was considered a huge sin back in the 19th century and Kellogg believed that a healthy diet was the answer to this problem. Unfortunately, Kellogg’s flaky idea for an anti-masturbatory breakfast did not provide the desired results.
i wouldn't call it little known fact, in fact it's the most know fact about Kellogg's :)
Vin Mariani
Vin Mariani tonic was introduced in 1863 and was advertised both as wine, and as a general cure-all product promising to treat whatever ailment you may have. The tonic quickly became a sensation and was widely endorsed, used among many famous people of the time, including the Pope and Thomas Edison. The tonic even inspired the invention of Coca Cola. The reason behind Vin Mariani's success? Cocaine. The drink contained around 6 mg of cocaine per fluid ounce of wine.
Iron Lungs
Before an effective vaccine was developed in the 1950s, the polio epidemic devastated many lives. When the outbreak reached its peak in 1952, there were 57,628 infected people in the USA. It was one of the most feared diseases of the 20th century. Back in the day, one of the most effective methods was invented to save lives, but it was one of the most terrifying, too. Imagine being unable to breathe and being put into a large, metal, coffin-like cabinet where you had to stay for weeks or even your whole life. This cabinet was nicknamed "the iron lung" and saved thousands of people who were not able to breathe on their own after their chest muscles were paralyzed due to polio.
Yep, and anti-vaxxers want to bring this disease back along with a slew of other ones doctors and scientist really worked hard to eradicate.
Tapeworm Diet
During Victorian times, people came up with a radical solution to reduce weight—tapeworms. The idea behind it was simple: a person consumes a tapeworm egg so that when the parasite hatches and grows inside of the person's intestines, it starts to ingest whatever the person eats. This supposedly allows the person to lose weight without decreasing the amount of food they eat. While today it is known that tapeworms can be dangerous and in some cases even lethal, this questionable practice is still alive today.
But what did they do when they wanted to stop losing weight? How did they get it out? This is so gross lol
Lobotomy
In the early 20th century, when methods of treating mental illnesses were scarce, an invasive procedure called lobotomy was invented. Despite the lack of evidence that this procedure, during which the nerve pathways in the lobes of the brain are severed, has any positive effects in treating illnesses, lobotomy became widely used. Active campaigning for the effectiveness of lobotomy and the spread of misinformation in the media led many to believe that lobotomy was a miracle cure. Only years later was the procedure recognized as one of the most shameful and tragic events in medical history.
Malariotherapy
At the beginning of the 20th century, patients suffering from syphilis were treated with malariotherapy. Ailing individuals were deliberately infected with malaria to induce fever. Apparently, the high fever was enough to kill temperature-sensitive syphilis bacteria. It is estimated that around 15% of those treated with malariotherapy died from malaria. However, others showed great improvement.
Interesting that some people actually benefited from this and some didn't. I can see where people were going with that idea.
Sitting Inside A Rotting Whale Carcass
Back in the 19th century, a cutting-edge new "treatment" for rheumatism was introduced on Australia's southern coast: sitting inside a rotting whale carcass. It was believed that if a person stayed inside of the dead whale for 30 hours, they would be relieved of joint aches for up to 12 months. Clearly, there's no scientific evidence to support the healing power of sitting inside of a dead whale, but it seems like people were desperate enough to actually try it.
After doing that, NO ONE was going to admit to having rheumatoid arthritis. I have no doubt at all that people claimed they were "cured", just to escape the doctor.
Radium Water
While we may think of energy drinks as a new trend, they have existed for almost a century. And if you think they were a lot healthier back in the day than they are now, you're mistaken. The energy drinks sold in the 1920s did not contain huge amounts of caffeine and taurine, as they do now, but instead, they contained real energy—radium. One of the most infamous examples is RadiThor, which was simply radium dissolved in water. Unsurprisingly, the drink was created by a Harvard dropout, William J. A. Bailey, who was not a medical doctor. RadiThor was advertised as "A Cure for the Living Dead" and "Perpetual Sunshine."
Corpse Medicine
For hundreds of years, up until the 1890s, it was common to use the human body as an ingredient in various medicines. Which human parts were used to treat diseases? Well, pretty much all of them. For instance, the human liver was prescribed to those suffering from epilepsy. But the most common were blood, fat, bone, and flesh. During the 16th and 17th centuries, many physicians actively prescribed corpse medicine to their patients. One of the most popular remedies back in the day was made of smuggled Egyptian mummies. The mummified remains were usually powdered and used as a treatment for epilepsy, bruising, and hemorrhaging.
Bloodletting
Bloodletting is known as one of the oldest medical practices, dating back 3000 years to ancient Egypt. The procedure was common in medieval Europe to treat diseases such as smallpox, epilepsy, and plague. However, it didn't end there. Bloodletting was commonly practiced throughout the 19th century, too, and is sometimes even used today. Towards the end of the 19th century, the treatment was discredited when doctors finally admitted that depleting the body's blood supply can be risky and doesn't have many valuable health benefits. Bloodletting puts a patient at risk of having a cardiac arrest, losing too much blood, and can cause dangerously low blood pressure, in addition to the possibility of infections and anemia.
Mercury
Today, we are well aware of the serious health effects exposure to mercury may have. Inhalation of mercury vapor can damage one's internal organs, such as lungs and kidneys, and can even be fatal. If ingested, the inorganic salts of mercury can induce kidney toxicity. Yet, throughout history, this chemical was used to prolong life and maintain good health. For several hundred years, mercury was the key ingredient in a variety of products used to treat such diseases as melancholy, syphilis, and influenza.
Arsenic
Arsenic is one of the oldest medicines that dates back to ancient times. However, even though the toxic properties of arsenic were known, the chemical was used to treat various diseases up until the 20th century. Arsenic compounds were ingredients in many tinctures, balsams, and tablets, which were used to treat diseases such as trypanosomiasis, or “sleeping sickness,” and syphilis.
Trepanation
Trepanation, the practice of drilling, cutting or scraping holes in a person's skull, has been around since prehistoric times. It is believed to be one of the oldest surgical procedures—however, scientists are unsure why our ancestors performed it. In western medicine, up until the 19th century, trepanation was widely used to treat head traumas.
I heard it was was to let out the evil spirits of the possessed. Seriously.
Crocodile Dung
Ancient Egyptians were really creative with the methods they used to prevent unwanted pregnancies. One of their notoriously inventive methods was inserting crocodile dung into the vagina. While it's unclear whether this method actually worked, it's obvious how unhygienic and dangerous it was.
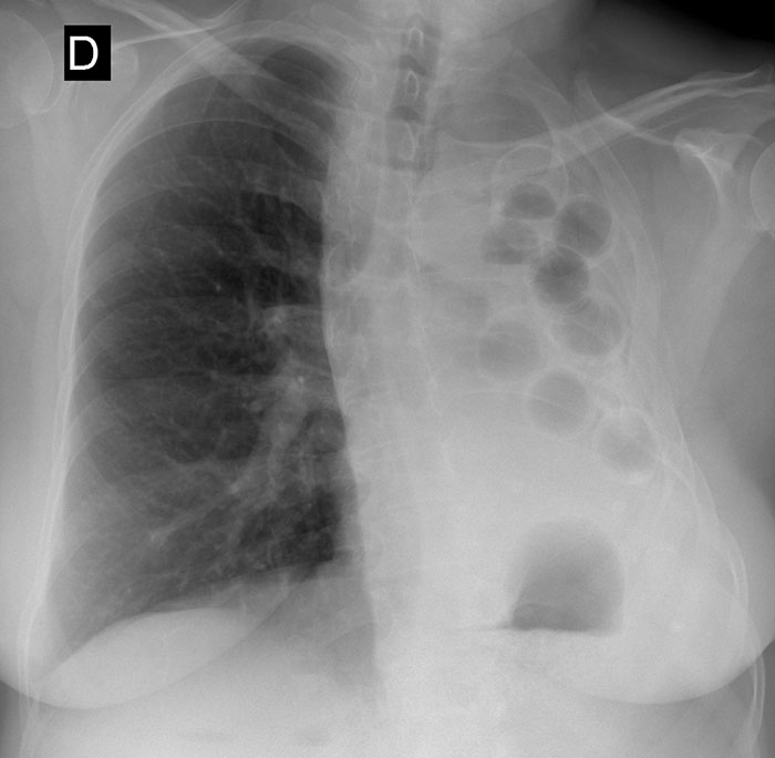
Plombage
Prior to the introduction of effective tuberculosis medicine, plombage was used to treat the disease from the 1930s to the 1950s. Physicians believed that a collapsed lung would heal faster, so they used the plombage method to forcibly collapse the lung. During the procedure, a doctor would create a cavity underneath the upper ribs and fill the space with materials such as Lucite (acrylic) balls, ping pong balls, oils, rubber sheets, paraffin wax, or gauze. Unsurprisingly, this treatment carried the risk of complications. Many of the patients suffered from hemorrhage, infection, and fistulization (abnormal opening between two hollow organs) of the bronchus, aorta, esophagus, and skin.
Wtf... Sometimes I think these doctors knew it wouldnt work, they were just the Mengele of their time.
Dead Mouse Paste
Before effective pain medication was invented, people throughout history have tried many ways to ease their pain. One of the grossest and most ineffective treatments was used by Egyptians. To relieve toothaches, they would mash dead mice and blend them with some other ingredients into a paste, which was then applied to the aching tooth. Unsurprisingly, the paste didn't aid much with the pain, but instead often caused an infection.
Hemiglossectomy
Today we are familiar with hemiglossectomy as a procedure that involves the removal of part of the tongue, which is most often performed in such cases as oral cancer. However, some people who lived during the 18th and 19th centuries were subjected to this barbaric treatment as an attempt to correct their stutter. Doctors believed that the tongue was to blame for their speech problems, so they came up with a highly ineffective and sometimes even deadly method of correcting it with surgery.
This was done to bot my ex husband and his sister, in the late 60s and early 70s.
Tobacco Smoke Enemas
Tobacco smoke enemas were practiced in the 18th century to treat various ailments. Back in the day, this procedure was administrated to patients suffering from headaches, respiratory failure, cold, or abdominal cramps, just to name a few. This method was even used to resuscitate individuals who were dying from typhoid fever or cholera. It was believed that nicotine could stimulate a patient's adrenal glands, produce adrenaline, and revive them. Unsurprisingly, this method hardly ever worked.
Talk about blowing smoke up your a*s. I guess they took it literally back then.
Yeah these are ridiculous in hindsight but what will be saying about us in a hundred years.
They'll probably say we did our best and made remarkable progress, and even the "barbaric" medicines were at least tested extensively and shown to have some positive effect. Although some people continued to deny science and used "medicine" that weren't demonstrated to be safe OR effective.
Load More Replies...People who say that vaccines and modern medicine aren't necessary should be given these treatments 🙄
Some things that we are doing in modern medicine will be on a list like this someday. We are no where near knowing it all. We can’t even kill corona viruses.
Load More Replies...It is easy to judge now. After circa 2500 years of medical research, our medicine is way more effective and safe than it ever was. But that doesn't make us better than people that were here before us. They tried their best and every little piece of information they obtained contributed to the development of science. The knowledge of human body we have now is here mostly thanks to them. Most of the people that profit from healthcare today did nothing to obtain it. It's very much blind luck (or fate or whatever) that we were born today. Let's be a bit humble and have some respect for those who lived before us. Sorry for moralizing, thank you for reading it all.
No, that was well put! Some people on this site need to respect history. Imagine what people of future will think of our generation and our extreme selfishness/arrogance?
Load More Replies...Yeah these are ridiculous in hindsight but what will be saying about us in a hundred years.
They'll probably say we did our best and made remarkable progress, and even the "barbaric" medicines were at least tested extensively and shown to have some positive effect. Although some people continued to deny science and used "medicine" that weren't demonstrated to be safe OR effective.
Load More Replies...People who say that vaccines and modern medicine aren't necessary should be given these treatments 🙄
Some things that we are doing in modern medicine will be on a list like this someday. We are no where near knowing it all. We can’t even kill corona viruses.
Load More Replies...It is easy to judge now. After circa 2500 years of medical research, our medicine is way more effective and safe than it ever was. But that doesn't make us better than people that were here before us. They tried their best and every little piece of information they obtained contributed to the development of science. The knowledge of human body we have now is here mostly thanks to them. Most of the people that profit from healthcare today did nothing to obtain it. It's very much blind luck (or fate or whatever) that we were born today. Let's be a bit humble and have some respect for those who lived before us. Sorry for moralizing, thank you for reading it all.
No, that was well put! Some people on this site need to respect history. Imagine what people of future will think of our generation and our extreme selfishness/arrogance?
Load More Replies...
