Man Who Went To Get His Neck Pain Fixed Now Wants Family To ‘Pull The Plug’
What was supposed to be a routine chiropractic visit turned into a devastating, life-altering catastrophe for Jonathan Buckelew. At just 24 years old, the Georgia man walked into a chiropractor’s office for a simple neck adjustment—and never walked again.
Now 34, Buckelew has spent the last decade living with locked-in syndrome, a rare neurological condition that has left him completely paralyzed except for his eyes.
He is fully conscious, fully aware of his surroundings, and entirely unable to move or speak.
Some online have called it “a fate worse than d**th.”
A man in his twenties was left paralyzed after a chiropractor damaged his brain stem during a visit
Image credits: Janice Buckelew / Facebook
“He’s had to sit there and endure the pity looks from his family and friends over the years,” a reader wrote. “Listen to how they whisper around him about how he’s coping. That would be enough for me to want to pull the plug.”
Image credits: Janice Buckelew / Facebook
The nightmare began on October 26, 2015. Suffering from persistent pain in his neck, Buckelew went in for a simple adjustment. Moments after the manipulation, however, something went terribly wrong.
His body convulsed. He seized. Then he became unresponsive.
Image credits: Janice Buckelew / Facebook
Panicked, those around him called for help. He was rushed to North Fulton Hospital in Georgia—now operating under a different name—where emergency doctors took over.
Image credits: Atlanta News First / YouTube
Making matters worse, despite the unmistakable signs of neurological distress, the true nature of Buckelew’s condition was missed. He wasn’t just having a seizure. The forceful neck adjustment had triggered a brain stem stroke.
For an entire day, the gravity of his condition went undiagnosed and by the time doctors realized what had happened, it was too late. The damage was irreversible.
The family was awarded $75 million in damages after suing the chiropractor and every medical specialist involved
Image credits: Atlanta News First / YouTube
“This case is heartbreaking because Jonathan’s paralysis and brain damage were completely avoidable,” said Lloyd Bell, Buckelew’s attorney.
“If the slew of healthcare providers involved in Jonathan’s care would have acted according to the standard of care, caught and treated his stroke earlier, and communicated more effectively, Jonathan’s life would look entirely different.”
Image credits: Atlanta News First / YouTube
Devastated and angry, the Buckelew family sued everyone responsible: the chiropractor who initiated the chain of events, the hospital, emergency room physician Dr. Matthew Womack, radiologist James Waldschmidt, and on-call neurologist Dr. Christopher Nickum.
Image credits: Atlanta News First / YouTube
As a result, the court awarded Buckelew a substantial $75 million in damages: $9 million for past medical expenses, $20 million for future medical care, and $46 million for pain and suffering.
The verdict was later upheld by the Georgia Court of Appeals, affirming the $40 million malpractice verdict against Dr. Womack.
Buckelew has, at times, used his limited ability to communicate to ask his parents to end his life—but they have refused
Image credits: Atlanta News First / YouTube
The large sum of money couldn’t pay for Buckelew’s potential life, which stood irreparably transformed—and trapped.
Before the stroke, the then 24-year-old led an active life and enjoyed playing sports.
Today, his existence is confined to a medical chair, and the lack of muscle control has gradually altered his appearance—his once bright and optimistic smile faded by years of paralysis.
Image credits: Atlanta News First / YouTube
Buckelew communicates through blinking or by using his nose to slowly type messages on a keypad. His parents, Jack and Janice, have turned their home into what they describe as a makeshift Intensive Care Unit (ICU).
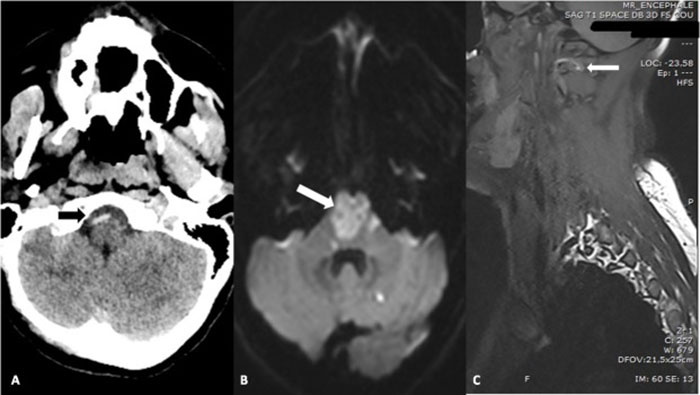
Image credits: National Library of Medicine
“I really feel like there’s no real justice for somebody who lost every aspect of his life,” Jack told Atlanta News First. “He wants to do things, he wants to go places—it just breaks our heart to see him like he is.”
Image credits: National Library of Medicine
In the absence of movement or speech, Buckelew’s world has shrunk to a handful of sensory comforts. His parents say he enjoys watching the large fish tank in their living room, one of the few activities that provides a sense of calm in an otherwise immobilized existence.
But beneath those brief moments of peace lies a more agonizing reality. According to his father, Jack, Jonathan has, at times, expressed a desire to pass away.
“There are some days where he’s like, ‘pull the plug,’” Jack added. “Those are the tough days.”
“I will never go to a chiropractor.” The case moved and scared netizens in equal measure
125Kviews
Share on FacebookExplore more of these tags
Chiropractors are not doctors. They are quacks. You're putting your health at risk if you visit a Chiropractor.
And this is why you shouldn't go to a chiropractor for a quick fix. There are many horror stories like this out there.
You shouldn't go to them at all. Physiotherapists are the answer
Load More Replies...1. Chiropractors are not doctors. What they do often isn't science-based, but is extremely dangerous. If you have an issue with your spine, go to a qualified physiotherapist. 2. His parents are cruel. He cannot kîll himself, but this life isn't his choice. It's beyond my understanding how you can love someone, and at the same time sentence him to *this*. If he keeps on asking, it's not "the hard days", it's that he has wanted his life ended for all these years. Poor guy.
I am reminded of an old verse by Ogden Nash, which goes (from memory, so might be a bit off) For him who botches that delicate neck trick, I hope there awaits the fauteuil electric.
Load More Replies...Chiropractors are not doctors. They are quacks. You're putting your health at risk if you visit a Chiropractor.
And this is why you shouldn't go to a chiropractor for a quick fix. There are many horror stories like this out there.
You shouldn't go to them at all. Physiotherapists are the answer
Load More Replies...1. Chiropractors are not doctors. What they do often isn't science-based, but is extremely dangerous. If you have an issue with your spine, go to a qualified physiotherapist. 2. His parents are cruel. He cannot kîll himself, but this life isn't his choice. It's beyond my understanding how you can love someone, and at the same time sentence him to *this*. If he keeps on asking, it's not "the hard days", it's that he has wanted his life ended for all these years. Poor guy.
I am reminded of an old verse by Ogden Nash, which goes (from memory, so might be a bit off) For him who botches that delicate neck trick, I hope there awaits the fauteuil electric.
Load More Replies...





























45
32