“Miracle Angel”: Newborn Survives Life-Threatening 4-Lb. Tumor, Mom Candidly Shares Her Story
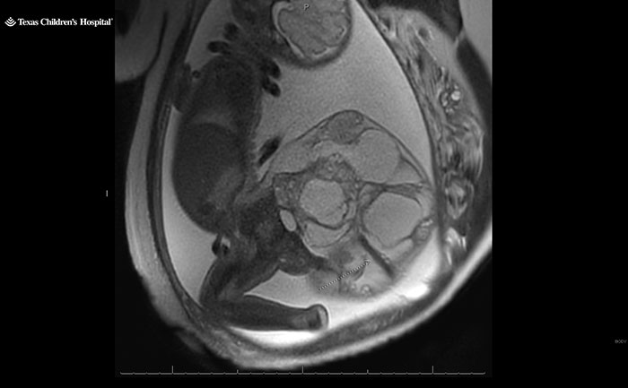
A 16-centimeter, four-pound (approximately 1.8-kilogram) fetal tumor was successfully removed from a baby’s tailbone. Born at 34 weeks, Adalida Tyler survived a sacrococcygeal teratoma tumor, a “very rare” condition that occurs in one in every 20,000 births.
At Kristin Tyler’s 20-week anatomy scan in February 2024, she and her husband Jacob Tyler were told that their baby might have spina bifida, a birth defect that can damage the spinal cord and nerves.
- A 16-centimeter, 4-pound tumor was removed from Adalida's tailbone at 34 weeks.
- Sacrococcygeal teratoma is a rare condition occurring in 1 in 20,000 births.
- The tumor is usually benign but can cause heart failure by stealing blood supply.
“I didn’t even know what that was,” Kristin told People on Monday (October 7). “So I was freaking out.”
A specialist subsequently diagnosed their unborn daughter with a sacrococcygeal teratoma instead, a rare fetal tumor that forms from the baby’s tailbone.
A four-pound (approximately 1.8-kilogram) fetal tumor was successfully removed from a baby’s tailbone
Image credits: Kristin Tyler
As a result, the couple, from Alexandria, Louisiana, USA, was referred to the Texas Children’s Pavilion for Women in Houston to be monitored by a specialized care team.
They traveled 245 miles (approximately 394 kilometers) from home to meet Dr. Ahmed Nassr, a maternal-fetal medicine specialist and fetal surgeon at Texas Children’s Pavilion for Women, People reported.
Dr. Nassr explained that the tumor was “very rare” and that it occurs in girls more often than boys, in addition to being usually benign.
A benign tumor isn’t a malignant (cancerous) tumor. It grows more slowly than a cancerous tumor, has even borders and, unlike cancerous tumors, it won’t spread to other parts of your body, the Cleveland Clinic explains.
Image credits: Texas Children’s Hospital
In most cases, doctors don’t know why it happens, as Dr. Nassr told People: “It’s just bad luck.” Moreover, the tumors can grow very large.
As they grow, the tumors can develop large blood vessels. “They basically steal the blood supply from the baby,” Dr. Nassr explained. “The heart of the baby needs to work very hard,” which, he said, can lead to heart failure.
In March, Kristin temporarily relocated to Houston, Texas with her one-year-old son William and her mother, so doctors could continue to monitor the baby. Meanwhile, Jacob, a mechanic, reportedly had to stay in Louisiana and work.
Born at 34 weeks, Adalida Tyler survived a 16-centimeter sacrococcygeal teratoma tumor
Image credits: Texas Children’s Hospital
“I was very scared,” the 23-year-old mother-of-two told People. “After so many doctor appointments and seeing it on the ultrasound, it was scary.”
Kristin had kept the situation shielded from friends and family, as she recalled: “There was nobody for me to reach out to talk about it. It felt like we were in the dark.”
On May 21, at 34 weeks, Kristin delivered Adalida via C-section. The little baby girl was born with the dreaded four-pound tumor, nearly two-thirds of her body weight.
Combined, the baby and tumor weighed more than 10 pounds (approximately 4.5 kilograms). Dr. Nassr recalled the tumor size being “a little bit smaller than a watermelon,” but larger than a cantaloupe.
Image credits: Texas Children’s Hospital
He told People: “It was a big tumor, that’s why we were so worried. “We needed to be very careful during delivery.
“We had to avoid any trauma or rupture of the tumor. Because sometimes with that large of a tumor, it can rupture and can start bleeding, and baby can become very sick after delivery.”
Kristin, who had only been able to see Adalida for a “split second” through a TV camera, recalled the moment her daughter was immediately taken to the neonatal intensive care unit: “I had just had her, and I was crying and I was upset.”
Sacrococcygeal teratoma occurs in one in every 20,000 births and appears more often on girls than boys
Voir cette publication sur Instagram
Two days later, a pediatric surgery team was able to remove the tumor successfully, and Adalida went home from the hospital on her due date, June 29, People reported.
“She’s a good, happy baby,” Kristin said. “She’s healthy. She’s all good. She’s healed.” The delighted mom added: “We call her our miracle baby. We call her angel baby.
“There were so many people that loved her. I’m so grateful.” When Adalida is between two and three years old, the family will return to Texas Children’s for cosmetic surgery, as per People.
In the process of removing the tumor from the bottom of Adalida’s spine, a completely flat surface was left, as Kristin explained: “So it was almost her whole butt.”
Image credits: Kristin Tyler
Consequently, plastic surgeons will reconstruct Adalida’s bottom and “make her look more like everybody else.”
While sacrococcygeal teratoma is extremely rare, it is the most common tumor found in newborns.
Back in 2022, little Saylor Thomson was born in Queensland, Australia, with the life-threatening tumor, which was “so huge that it weighed twice as much as the rest of her body,” ABC News reported.
Her distressed mom, Rachel Thomson, saw her baby for just a few minutes before Saylor was taken to the operating theater. At the time, doctors were reportedly unsure whether the little girl would survive.
On May 21, at 34 weeks, Kristin Tyler delivered Adalida via C-section
Image credits: Kristin Tyler
Saylor was reportedly delivered by emergency cesarean, just like Adalida, more than 11 weeks early after developing heart failure in the womb.
Mater maternal-fetal medicine specialist Sailesh Kumar said Saylor could have died during the birth if the tumor, identified during a routine scan in pregnancy, had burst.
“These tumors can rupture very easily at the time of the delivery so you’ve got to have plenty of space and you’ve got to very gently deliver the baby, otherwise you run the risk of tearing and rupturing the tumor,” Professor Kumar told ABC News.
Pediatric surgeon Peter Borzi said the tumor had grown into Saylor’s abdomen and mushroomed into a big mass outside her body.
Adalida was born with the dreaded four-pound tumor, nearly two-thirds of her body weight
Image credits: News 7
“The longer you left this tumor, the more likely it was to start to ulcerate and bleed and get infected,” Dr. Borzi told ABC News.
Saylor reportedly required five blood transfusions during the intricate six-hour operation at the Queensland Children’s Hospital.
After the successful surgery, Saylor’s mom, Rachel Thomson, had to wait until her baby girl was 10 days old to hold her for the first time.
“There were tubes everywhere. When they put her on me, they then had to clip parts of the ventilator and tubing onto my dress so they were held in the right spot,” Rachel told ABC News.
“So scary for the parents to go through all that,” a reader commented
Poll Question
Thanks! Check out the results:
3Kviews
Share on FacebookExplore more of these tags
It's absolute nonsense to publish an article about a medical condition, with pictures to show the condition, and then black out the pictures. If you're so sex obsessed that you can't handle seeing a naked baby with a huge tumor, you need help.
It might have more to do with squeamish eyes then sex. Some ppl dont like blood, needles ect or want to watch a surgery video or see picture.
Load More Replies...It's absolute nonsense to publish an article about a medical condition, with pictures to show the condition, and then black out the pictures. If you're so sex obsessed that you can't handle seeing a naked baby with a huge tumor, you need help.
It might have more to do with squeamish eyes then sex. Some ppl dont like blood, needles ect or want to watch a surgery video or see picture.
Load More Replies...


















37
4