Angry Radiologist Asks To Share His Message After A Potential Coronavirus Carrier Takes A Plane Full Of People
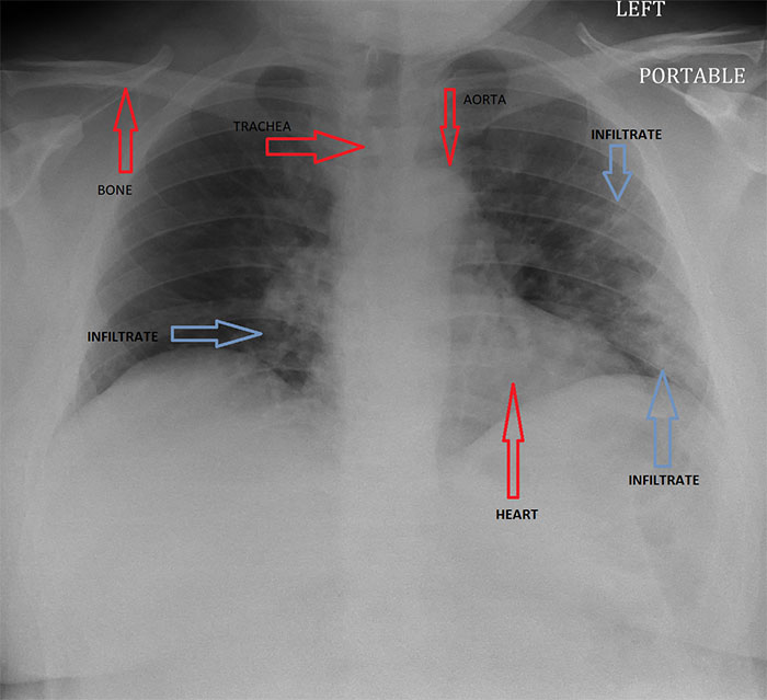
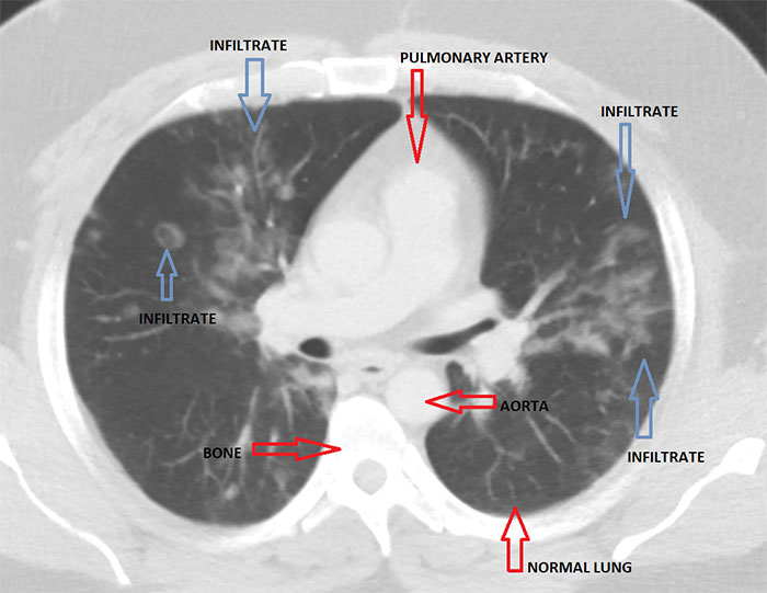
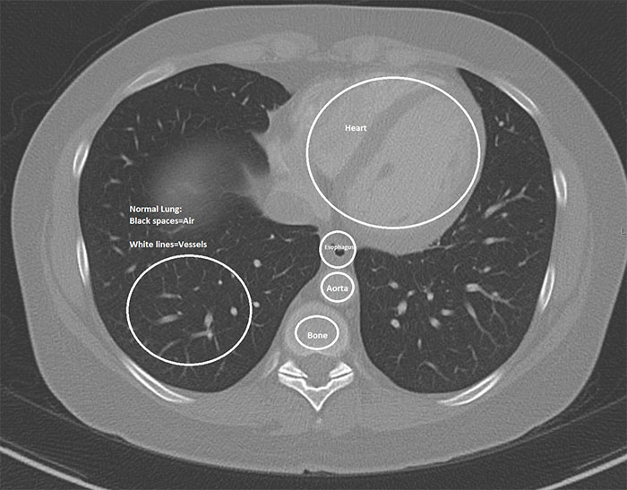
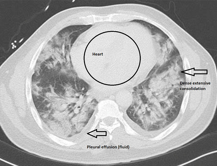
Imgur user and radiologist HeyYoMikey8 said the unknown future is the hardest part of the coronavirus pandemic. HeyYoMikey8 believes it is our own responsibility to educate ourselves so we can all do our part during these difficult times. So, to make it easier for us, the health professional shared what they’re seeing in cases of Covid-19 radiographically. The comprehensive commentary, as well as images used to help in the diagnosis and managing complications or evaluating the progression of the disease, should definitely broaden your understanding of what we’re all facing.
Image credits: HeyYoMikey8
The radiologist went to great lengths to explain what the coronavirus is all about
The author of the post became interested in radiology during their last 2 years of medical school. “I liked the cutting edge minimally invasive procedures that were being performed,” HeyYoMikey8 told Bored Panda. “However, during residency, I realized the diagnostic side was more interesting and rewarding to me, as I got to meld my favorite aspects of medicine (anatomy and pathology) to learn a visual type of language that is fluent by few.” HeyYoMikey8 really liked the breadth of systems and disease processes they would be dealing with on a daily basis. Diagnosing is super rewarding to them, particularly when it is a rare diagnosis or a diagnosis that might not have been otherwise considered without imaging. Not to mention their fascination with the technology used for modern imaging.
Interestingly, in the early days of the coronavirus outbreak, radiological imaging was not regarded as a way to confirm evidence for COVID-19 cases. Instead, authorities relied on a positive result of the PCR nucleic test. The supply of the PCR test kits, however, was limited and getting back the results took a long time. So, Chinese health authorities soon recognized these difficulties and changed the diagnostic strategy in their 5th edition of the Guidelines on Diagnosis and Treatment of COVID-19. As a result, radiological features of COVID-19 were included as one of the three determinant clinical manifestations to confirm a suspicious patient. The high efficiency, reliability, and accessibility of the radiological diagnostic technology have helped tremendously in identifying the disease. These processes were soon enhanced further by the introduction of artificial intelligence (AI) algorithms.
“[The disease] has posed problems for radiologists in several ways,” HeyYoMikey8 said. “The first is the physical act of getting the imaging done in a safe manner. We think of ventilators and PPE as finite resources, but so is performing radiological studies. This is exacerbated by a longer time to image COVID-19 positive or presumptive patients as the room air has to be circulated and filtered and the equipment properly sterilized.”
This could mean CT scanners were to be shut down for up to an hour after a single scan, severely limiting throughput for other patients including for emergent indications like trauma. “The radiology technologists are the real unsung heroes in all of this as they have to deal directly with many potentially infected patients to get their imaging done timely and appropriately, and should be seriously commended right now. We face problems with the diagnosis because a negative study does not rule out the disease, as it may have not yet manifest as an infiltrate despite the infection being present (false-negative scans).”
“Secondly, although certain concerning patterns suggesting COVID-19 on imaging have emerged, all findings are strictly nonspecific and therefore do not entirely rule in the diagnosis, and require additional confirmation as it could still be other entities such as Influenza pneumonia.”
“Finally, all radiology is a business like any other, and we have canceled or deferred almost all elective imaging procedures to help stall the spread of infection and make room for a potential surge of COVID-19 cases,” the radiologist explained. “Therefore, our imaging volumes have dropped by upwards of 50% basically overnight, leaving us with a lack of work for our normal staffing (requiring forced vacations) and a large dip in revenue which jeopardizes our ability to pay the bills and keep our nonphysician employees employed and paid. I do think radiology has helped us at least in this early stage to identify many presumptive cases that were not being considered as COVID-19 at their presentation … It may be helpful for follow up evaluation for potential complications such as ARDS or pleural effusions. Also, there are patients with respiratory symptoms now concerning COVID-19 that have imaging findings/patterns more consistent with other etiology such as bacterial pneumonia or pulmonary embolism, therefore helping to rule out many cases and guiding other appropriate treatment.”
Here’s how people reacted to the content
In Brussels - Belgium they are now systematically testing everybody who enters the hospital - no matter what reason (pregnancy / broken arm) for Covid, using the above mentioned CT scan. They found out that about 10% of the population has the Corona virus, and has NO SYMPTOMS to speak off - but still spread the virusses. Staying home, keep a distance is the only solution to stop this. No matter what your president says...
They are doing CT-scans for pregnant women?? It is not a common practice in many european countries to do CT-scan as testing method for coronavirus. There are better methods. High radiation doses increase risk of cancer in large populations.
Load More Replies...Well, without what they call the "superspreaders" the initial onslaught might have been much slower. Aside from COVID, people who suspectedly have contagious diseas should protect others!
This comment is hidden. Click here to view.
Load More Replies...People are stupid, don't believe the news anymore (what do you expect, with a 'president' calling everything fake news) and think it's not that bad. This is what happens.
In Brussels - Belgium they are now systematically testing everybody who enters the hospital - no matter what reason (pregnancy / broken arm) for Covid, using the above mentioned CT scan. They found out that about 10% of the population has the Corona virus, and has NO SYMPTOMS to speak off - but still spread the virusses. Staying home, keep a distance is the only solution to stop this. No matter what your president says...
They are doing CT-scans for pregnant women?? It is not a common practice in many european countries to do CT-scan as testing method for coronavirus. There are better methods. High radiation doses increase risk of cancer in large populations.
Load More Replies...Well, without what they call the "superspreaders" the initial onslaught might have been much slower. Aside from COVID, people who suspectedly have contagious diseas should protect others!
This comment is hidden. Click here to view.
Load More Replies...People are stupid, don't believe the news anymore (what do you expect, with a 'president' calling everything fake news) and think it's not that bad. This is what happens.





























161
39